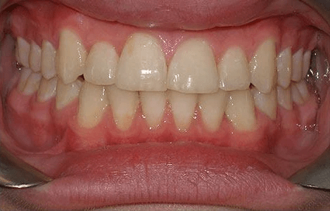
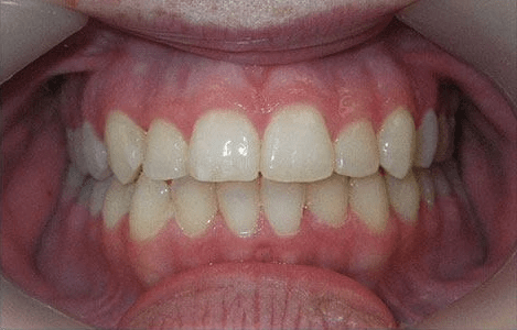
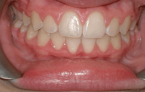
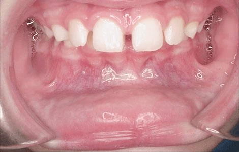
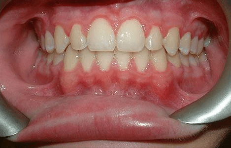
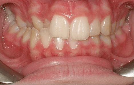
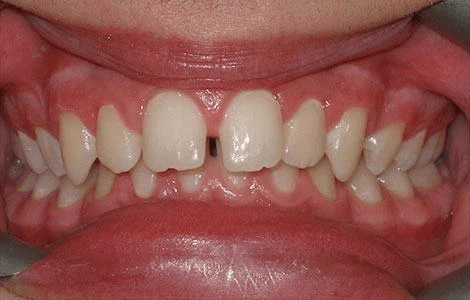
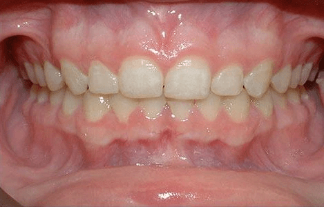
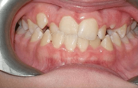
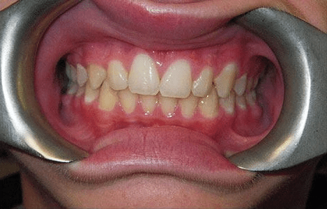
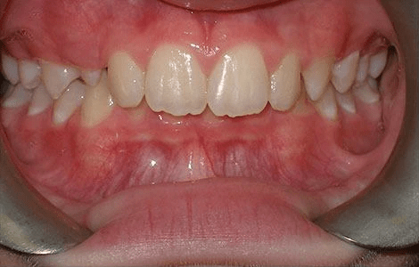
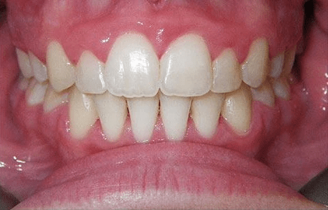
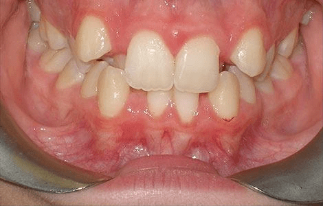
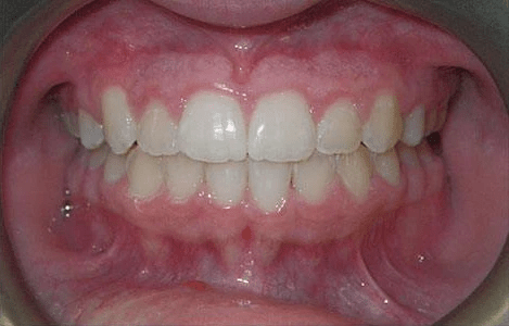
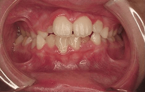
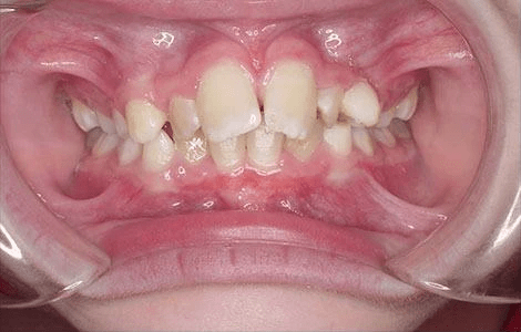
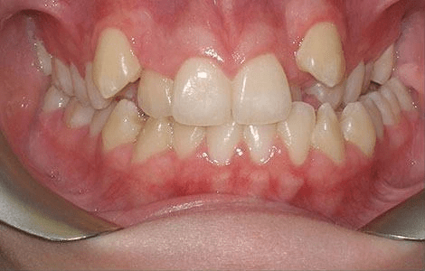
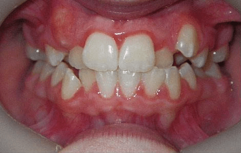
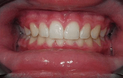
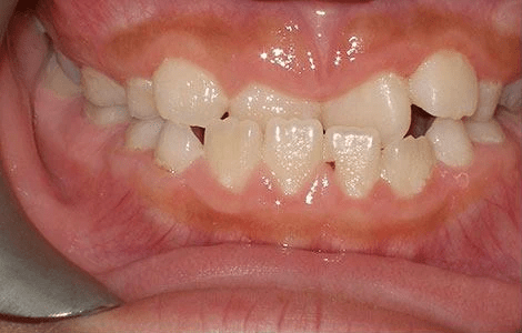
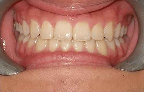
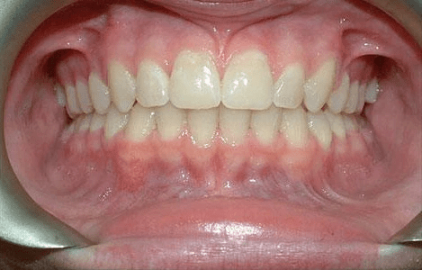
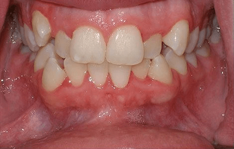
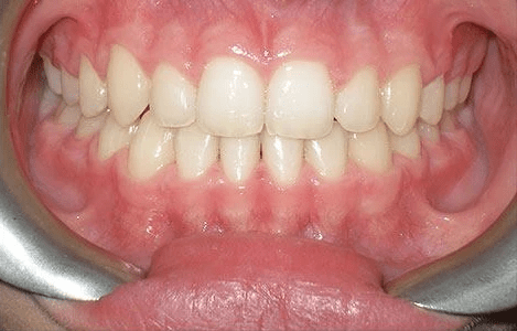
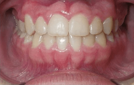
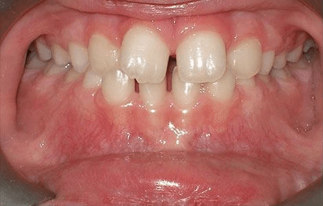
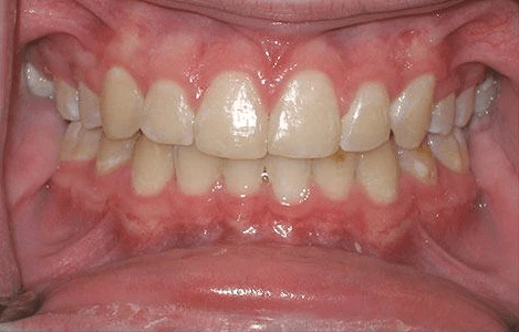
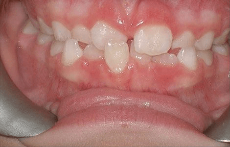
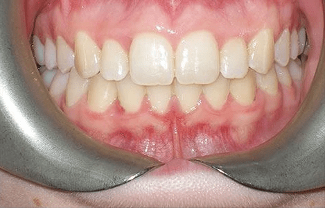
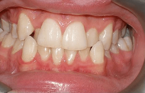
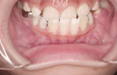
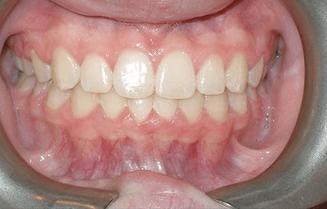
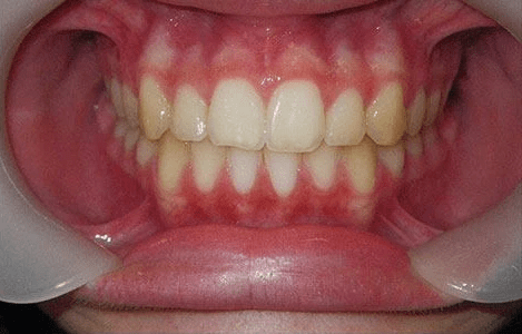
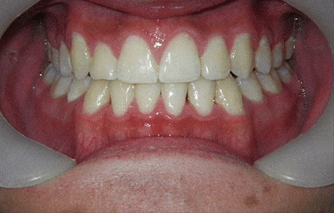
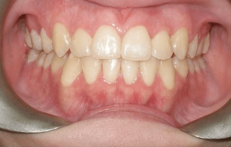
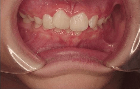
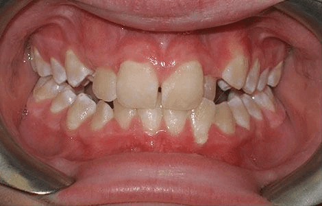
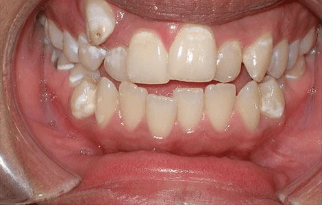
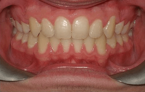
Our Gallery of Fabulous Smile Transformations
Explore our gallery of smile transformations and see why Chartrand Orthodontics has been Omaha’s “Best Orthodontist” since 2007.
Each smile in our gallery represents a journey to confidence and dental excellence, showcasing the meticulous care and personalized treatments we’re known for.